Воронежские врачи спасли пациентку с тяжёлой формой гипертонии
- 29 января 22:00
- Оксана Белова

По информации РИА "Воронеж", в городскую больницу №3 поступила пациентка с тревожными симптомами. У женщины средних лет наблюдалось опасное состояние — постоянное высокое артериальное давление, достигающее отметки в 240. Подобный показатель означал реальную угрозу жизни.
Более того, болезнь усугублялась наличием сахарного диабета второго типа и избыточного веса. Эти факторы ещё больше затрудняли постановку точного диагноза и выбор правильного метода лечения. Стандартные лекарственные средства, применяемые для снижения давления, оказались бессильны перед столь тяжёлым недугом.
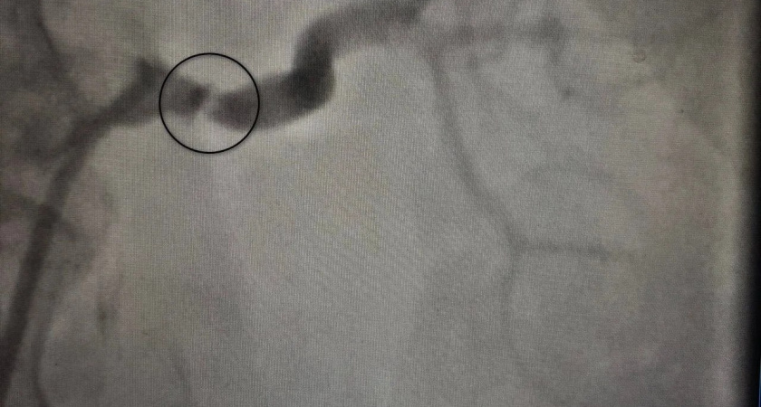
Благодаря новейшим медицинским технологиям и профессионализму местных врачей проблема вскоре была раскрыта. Медики решили применить современную процедуру компьютерной томографической ангиографии, позволяющую детально исследовать внутренние органы и кровеносные сосуды. Проведённое обследование показало сильнейшее сужение главной почечной артерии. Это и являлось источником повышенного давления.
Именно благодаря этому открытию возникла уникальная возможность решить проблему кардинально. Руководствуясь выводами обследования, специалисты приняли решение провести малотравматичную эндоваскулярную операцию. Стентом был устранён дефект сосуда, нормализовав кровообращение в почке.
Итог оказался впечатляющим: артериальное давление женщины стабилизировалось сразу после хирургического вмешательства, и необходимость регулярного приёма большого количества медикаментов отпала сама собой.
Ранее мы писали об участии воронежцев в популярном телешоу "Поле чудес".